valera-kolpakov

— постов 182. 849 место в топе

Блогер valera-kolpakov - Записки сумасшедшего стоматолога.

 
Осторожно! Медицинские откровенности. Я всего один раз в жизни принимал роды. После пятого курса мединститута, на практике. Руки трясутся, хватаюсь за лезущую головку, пытаюсь промежность защитить, а на ухо акушерка чего то орет благим матом. Ребенок таки родился, в итоге все получилось ...
12-08-2014топ 100 блогов valera_kolpakov
Развернуть
 
Представьте, что вы встретили на улице инвалида-колясочника. Здоровый парень крутит накаченными ручищами колёса своей коляски. Часто, это жертвы травм спинного мозга, когда наступает паралич нижней части тела, - бывшие спортсмены, каскадеры, солдаты.... О чем из потерянного после травмы он ...
02-08-2014топ 100 блогов valera_kolpakov
Развернуть
 
Открываю новую рубрику - "Вскрытие показало", где мы будем рассматривать удаленные зубы и находить всевозможные интересности. Я это делал спорадически, и формат мне настолько понравился, что стоит того, чтоб превратить это в постоянную рубрику. Сегодняшний случай - малый коренной зуб, кот ...
26-07-2014топ 100 блогов valera_kolpakov
Развернуть
 
Позавчера удалил тридцать два зуба пациентке, т.е. весь полный зубокомплект. За один визит. Впервые в своей профессиональной карьере. Это своеобразный рекорд, ибо редко кто доводит зубы до такого состояния, не потеряв ни одного по дороге. Молодая девушка, двадцать с хвостиком. Половина зуб ...
02-07-2014топ 100 блогов valera_kolpakov
Развернуть
 
Фирма СПЛАТ подарила мне очередные образцы своей продукции, за что им сердечное спасибо. Подобные пасты с необычным вкусом - абсолютное наслаждение для коллекционера. Вот самая верхняя - с коллоидным золотом и вкусом розового шампанского. "Специально для особо важных персон" - я попал в их ...
30-06-2014топ 100 блогов valera_kolpakov
Развернуть
 
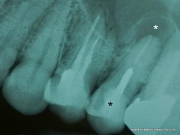
Это не практическое пособие для начинающих дантистов, это краткий обзор для любопытных пациентов. Пациентов, которым интересно знать, чего там эти стоматологи так долго копаются в зубе. Что там за цветные иголочки и для чего они нужны? Знакомьтесь - это наш сегодняшний пациент Зуб ...
30-06-2014топ 100 блогов valera_kolpakov
Развернуть
 
Малолетка-королева красоты, победительница какого то местного конкурса красоты среди дошколят. Мамки-няньки счастливы, а девочку, похоже, это все крепко задолбало. Ее, наверное, подняли в 5 утра, чтоб накрасить, наманикюрить да завить к параду. Я бы эти малолетние красото-конкурсы з ...
18-05-2014топ 100 блогов valera_kolpakov
Развернуть
 
Летел сегодня очередной раз домой. Рядом сидела бабуся, а у нее чемодан тяжелый, не могла закинуть на полку. Зовет бортпроводницу, чтоб та ей закинула. Бортпроводница дернулась, да нет, тяжел и для нее. "Сейчас я вызову работника" - говорит стюардесса. А сзади толпа толпится, всем усаживат ...
07-05-2014топ 100 блогов valera_kolpakov
Развернуть
 
У пациентки запущенный парадонтит, зубы стали расходиться, появились щели между зубами. -- Доктор, они вернутся обратно? - спрашивает она. -- Сомневаюсь, процесс зашел слишком далеко. -- Как мне с этим жить? Из за этих зубов я выгляжу старухой. Вот, сколько вы думаете мне лет? Я ...
04-02-2014топ 100 блогов valera_kolpakov
Развернуть
 
Джейсон Никсон, редактор журнала Скай, прошлой зимой посетил Москву, а потом рассказал о своем путешествии многим тысячам американцев. В журнале, который является печатным органом авиакомпании Дельта, в ноябрьском выпуске напечатан его рассказ. Статья показалась мне забавной, и, пока я ...
Развернуть