valera-kolpakov

— постов 182. 849 место в топе

Блогер valera-kolpakov - Записки сумасшедшего стоматолога.

 
Прошлой осенью я прогулялся по главной улице , чтоб показать какие бизнесы популярны среди населения маленького американского городка, в частности обилие похоронных домов и юристов. В комментариях меня обвинили в том, что я показываю "причесанную" Америку, а в жилых кварталах полно развал ...
18-05-2015топ 100 блогов valera_kolpakov
Развернуть
 
Дорогие мои друзья-читатели, а давайте поделимся советами о том как умно путешествовать вообще и за рубежом в частности. В предверии моего турне по Европе мне хочется затовариться всевозможными лайфхаками, ноухаями и просто советами. Вопрос первый. Как вы преодолеваете языковой барьер? К ...
14-05-2015топ 100 блогов valera_kolpakov
Развернуть
 
Двадцать с лишним лет назад, в Италии, произошёл со мной один случай, который оставил глубокий незаживающий след в моей нежной душе художника. В те далёкие времена я работал в одном научном иституте, построенном в глубокой провинции среди итальянских виноградников и коровьего говна. Обстан ...
14-05-2015топ 100 блогов valera_kolpakov
Развернуть
 
Предупреждение! Медицинские фотографии. К нам в офис нередко звонят пациенты, которым поставили импланты где то за границей, и им надо, чтоб на них поставили коронки. После нескольких осмотров таких пациентов я дал инструкции своим ассистентам таких пациентов даже не назначать. Часто я не ...
05-05-2015топ 100 блогов valera_kolpakov
Развернуть
 
Многие любят говорить, что Путин накачан ботоксом, но не все при этом знают что такое ботокс. Оттого некоторые личности попадают в неловкие ситуации, как герой "Двенадцати стульев" Ляпис-Трубецкой со своим "стремительно падающим домкратом" . Бывший советский разведчик, а ныне американски ...
03-05-2015топ 100 блогов valera_kolpakov
Развернуть
 
Предупреждение! Длинный нудный пост про всякую американскую неинтересную фигню. Вот меня спрашивают мои американские знакомые, чего это повадился Америку ругать. Мол, если страна не нравится, чего я в ней тогда живу. А я оттого и выпячиваю американские перекосы, что люблю эту страну, и х ...
29-04-2015топ 100 блогов valera_kolpakov
Развернуть
 
У моей секретарши в Мичигане мать умерла от ужасной болезни, которая по научному называется боковой амиотрофический склероз, хотя среди американских обывателей ее чаще называют болезнью Лу Герига, по имени знаменитого американского бейболиста. В чем её ужас? Из за дегенеративных изменений ...
24-04-2015топ 100 блогов valera_kolpakov
Развернуть
 
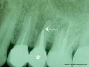
Пришёл пациент с жалобами на боли в зубе и припухлость десны. Пациент недавно вернулся из другой страны, где лечил зубы, ибо в Америке дорого. Болит один из свежевылеченых зубов. Делаем рентгеновский снимок. Видим, что на проблемном зубе (отмечен звездочкой), поставлена вкладка. Также ...
23-04-2015топ 100 блогов valera_kolpakov
Развернуть
 
Вчера знакомая прислала нам фотографию из школы вот практически один в один с этой. Я побоялся выставлять оригинал, чтоб не засветить публично чьего нибудь ребенка, потому привожу практически идентичную с просторов интернета. Итак, чем занимаются эти дети? Нет, они не молятся. Эти дет ...
22-04-2015топ 100 блогов valera_kolpakov
Развернуть
 
Читатели рассказывают, что по Российскому телевизору, в очередной передаче про здоровье, сказали, что полоскалки для рта вредны, что они вызывают рак, и что изначально этими полоскалками вообще полы мыли, а мы тут рты полощем. "Что тут правда, а что ложь?" - интересуются читатели. Речь, в ...
12-04-2015топ 100 блогов valera_kolpakov
Развернуть