valera-kolpakov

— постов 182. 849 место в топе

Блогер valera-kolpakov - Записки сумасшедшего стоматолога.

 
Американский коллега рассказывает такую историю. Пришла к нему на осмотр дама, ничего не болит, не беспокоит. Однако, на снимке, под одним из зубов, на котором стоит длинный-предлинный мост, обнаруживается кариес. Вот, смотрите, на снимке, под красной звездочкой, видно темное пятно - это ...
28-09-2014топ 100 блогов valera_kolpakov
Развернуть
 
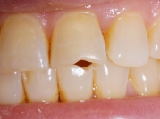
Посмотрите на эти дефекты верхнего и нижнего передних зубов. Соприкасаясь, они образуют отверстие. Подобные дефекты нередко встречаются среди жителей России, других стран бывшего СССР и Китая. Как вы думаете, чем они вызваны? Впервые я увидел подобные дефекты еще студентом-стоматологом ...
27-09-2014топ 100 блогов valera_kolpakov
Развернуть
 
Приходит менеджер Лина и говорит: "Доктор, там на телефоне девушка, первую неделю в Америке. Ей пришлось срочно уехать из Москвы, и московский доктор не успел завершить установку всех частей импланта. Она привезла эти запчасти в мешочке и хочет чтоб ей их установили. Только она хочет, чтоб ...
26-09-2014топ 100 блогов valera_kolpakov
Развернуть
 
На этот раз зубные пасты компании R.O.C.S. от самой компании. Мне больше всего понравилась барбарисовая, хоть она и для деток. А что вы думаете о зубных пастах R.O.C.S. ? ПыСы. Да, это реклама, проплаченная зубной пастой. Деньгами никто мне не предлагает. ...
13-09-2014топ 100 блогов valera_kolpakovРеклама
Развернуть
 
В заголовке нет никакой аллегории, речь пойдет именно о торшере, ножка которого состоит из отрезанной человеческой ноги. Так придумал голландец Лео Бонтен, которому врачи предложили ампутацию ноги, которую уже нельзя было спасти из за серьезной инфекции. "Ну а раз ногу не спасти, так пусть ...
03-09-2014топ 100 блогов valera_kolpakov
Развернуть
 
Мне часто задают этот вопрос, имея ввиду использование коммерческих ополаскивателей для рта. На этот вопрос нельзя ответить однозначно, ибо ополаскиватели бывают разные и применяются, естественно, для разных нужд. Я обычно делю ополаскиватели на 4 группы: 1) Для десен - антисептические оп ...
26-08-2014топ 100 блогов valera_kolpakov
Развернуть
 
А вы знаете, что, с возрастом человеческое ухо перестает воспринимать звуки самой высокой частоты? Казалось бы, ну и что? А вот что. Один британский ученый (Ховард Стейплтон, Уэльс) использовал этот факт для борьбы с молодежью. Он изобрел прибор, который генерирует звук очень высокой часто ...
25-08-2014топ 100 блогов valera_kolpakov
Развернуть
 
Одна знакомая жалуется, что ее муж никогда не готовит еду. Даже не может себе сделать простейший бутерброд. Скорее будет голодать, или пойдет в забегаловку. А я ей говорю: "Может у мужика твоего магейрокофобия "? Есть такое психическое заболевание - боязнь проготовления еды. Думаю, страд ...
23-08-2014топ 100 блогов valera_kolpakov
Развернуть
 
В Швейцарии нет четких законов об эвтаназии, потому она стала популярным местом назначения туристов-самоубийц. Согласно опубликованному научному анализу (Университет Цюриха) в промежуток между 2008 и 2012 годами 611 "туристов" приехали в Швейцарию, чтобы покончить счеты с жизнью. Они при ...
23-08-2014топ 100 блогов valera_kolpakov
Развернуть
 
Одна дама пришла в стоматологический офис вся наряженная. То ли с работы прямиком, то ли специально вырядилась, а только был на даме дорогой костюм цвета бордо от какого то дорогого дизайнера. А надо было той даме запломбировать канал в зубе. Ну, как водится, усадили, надели слюнявчик и по ...
15-08-2014топ 100 блогов valera_kolpakov
Развернуть