stsvv

— постов 13. 10449 место в топе

Блогер stsvv - Стоматология. Понятная и Доступная.

 
Друзья, сегодня у меня к вам серьезный вопрос. Помогите, пожалуйста, определиться. Когда вы выбираете клинику, наверняка изучаете ее прайс-лист, размещенный на сайте. Вот, хочу спросить вас - насколько точно он совпадает с тем, что вам рассчитывают на очной консультации в той самой ...
10-04-2013топ 100 блогов stsvv
Развернуть
 
Друзья, давайте сегодня поговорим не о стоматологии, а о медицине в целом. А точнее, рассмотрим вопрос о ее "бесплатности" и "доступности". Мне кажется, в преддверии выборов этот разговор очень актуален. *  *  * Недавно я встретил своего ...
21-11-2011топ 100 блогов stsvv
Развернуть
 
Хотите, я покажу Вам свое рабочее место? Тогда добро пожаловать! Как-нибудь в выходные устрою фотоэкскурсию и покажу Вам всю ...
10-11-2011топ 100 блогов stsvv
Развернуть
 
Итак, дорогие друзья, я начинаю большой цикл лекций "Стоматология для всех", посвященных строению, функционированию, и развитию нашей зубочелюстной системы. Стоматологи и врачи-специалисты могут смело пропустить эти записи в своей френд-ленте, ...
01-10-2011топ 100 блогов stsvv
Развернуть
 
В начале июля мне пришло письмо от одной девушки из далекого областного центра. Она рассказала, что несколько дней назад получила травму, просила посмотреть снимки и что-нибудь ей посоветовать. Посмотрел снимки, порасспрашивал о симптомах и ...
26-09-2011топ 100 блогов stsvv
Развернуть
 
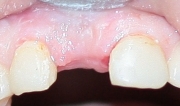
Помните, я показывал Вам, как устанавливаются импланты Xive и Zimmer ? Но то были просто операции. А сегодня я хочу показать Вам одну работу почти полностью. Ее мы делали несколько лет назад. Тогда это было очень круто. Сейчас же, с учетом накопленного ...
16-09-2011топ 100 блогов stsvv
Развернуть
 
Тема серьезная, поэтому прошу каждого из Вас, уважаемые друзья, высказаться. Это очень важно. В последнее время одно из наиболее частых обвинений, звучащих в адрес медицинских работников - это некая скрытность. По мнению общественности, врачи ...
12-09-2011топ 100 блогов stsvv
Развернуть
 
А вот и обещанный вечерний пост. Расскажу Вам о том, как мы сходили на передачу "Пусть говорят" и о чем там говорили. Увы, но если изначально тема передачи звучала как "стоматологи, их пациенты и как выбрать стоматолога", то к концу я бы назвал ее ...
13-07-2011топ 100 блогов stsvv
Развернуть
 
Не любят доктора об этом говорить. Да и на сайтах имплантологических клиник информации по этой теме не встретишь - чаще все рассказывают о своих успехах, нежели ошибках. Однако, ошибки учат и, на мой взгляд, говорить о них нужно. Хотя бы для того, ...
18-05-2011топ 100 блогов stsvv
Развернуть
 
Медицина - одна из самых быстро развивающихся отраслей нашей жизни. Стоматология - ее авангард. Из-за чрезвычайно высокой конкуренции в стоматологической среде, и врачи, и производители, и маркетологи должны постоянно что-то придумывать, чтобы ...
22-04-2011топ 100 блогов stsvv
Развернуть