pink_mathilda

— постов 457. 389 место в топе
 
Играли в субботу в очередной городской квест. В отличие от Бегущего города, который проходит больше по центральным районам (хотя бывают и у него нефиговые гребеня), нынешний квест целиком был в гребенях на севере города. Видели кое-что интересное, ещё покажу. А пока — впечатление дня. ...
05-11-2019топ 100 блогов pink_mathilda
Развернуть
 
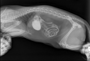
Простите, не удержалась :-) Ещё зимой внезапно оказалось, что детонька стала бояться переноски и фиг ты её поймаешь, чтобы туда посадить. Нынешняя эпическая битва Большого Бегемота с котэ проходила с переменным перевесом сторон, при этом в процессе оказались дважды засранными ...
04-11-2019топ 100 блогов pink_mathilda
Развернуть
 
Волендам — рыбацкий городок в Нидерландах. Тут рыбный рынок и сэндвичи с селёдкой. Тут множество птиц, начиная от обычных чаек и уток до серых цапель, которые даже (если вам повезёт) кормятся с рук. Но на видео почему-то попал скворец :-) С вами были #птицыпочетвергам и летающий ...
31-10-2019топ 100 блогов pink_mathilda
Развернуть
 
Завершающая часть рассказа об объектах музея городской скульптуры на территории Александро-Невской лавры. "Здесь лежит Суворов" — помните эту фразу из учебника истории? Про шедевры классицистического и ампирного надгробия Российской империи и не только читайте в моём блоге на сайте ...
30-10-2019топ 100 блогов pink_mathilda
Развернуть
 
Когда рылась в старых ибипетских фотках, чтобы написать прошлую угадайку про лапу сфинкса, внезапно обнаружила у себя клёвый кадр. Самое забавное, что тогда, 10 лет назад, он мне прямо таким уж клёвым не показался. Спишем на улучшение вкуса за отчётный период? ;-) И да, это Каир. Вид ...
30-10-2019топ 100 блогов pink_mathilda
Развернуть
 
А проверять эту фразу Коко Шанель я ходила на крупнейший в Петербурге завод по производству ювелирных изделий "Русские самоцветы" ;-) Когда-то давно, 5 лет назад, я побывала в ювелирных мастерских, производящих ювелирку из серебра . Поэтому поход на "Русские самоцветы" лично для меня ...
29-10-2019топ 100 блогов pink_mathilda
Развернуть
 
Когда писала прошлый пост о некрополе XVIII века , так гнала от себя цитату про "склепики, саркофагики", а в комментарии всё равно прилетело :-) Но в этой половине кладбище всё более похоже на музей, чем на захоронение. Памятники великим русским художникам, писателям, композиторам ...
28-10-2019топ 100 блогов pink_mathilda
Развернуть
 
Сегодня в новостях прочитала, что галерея стрит-арта в переулке Радищева — всё. Пришли тётки с вёдрами краски и за 15 минут всё замазали. Причём ЖКС утверждают, что это не они . Если раньше испорченные работы художник восстанавливал, то теперь он сказал, что подождёт закона о ...
28-10-2019топ 100 блогов pink_mathilda
Развернуть
 
Съездил тут Большой Бегемот на днях в командировку. И привёз мне... винную пробку! Шучу. Но пробку действительно привёз. А с ней и замечательную историю. Купил он там себе бутылку австралийского красного вина. Скрасить вечер и всё такое. Вино привлекло демократичной ценой и интересной ...
26-10-2019топ 100 блогов pink_mathilda
Развернуть
 
Увидела Прекрасное у knatka тут , и, как самый культурный бегемот, не смогла не cтащить к себе. Это выдержки из журнала Огонёк за 1936 год, тест на определение "культурный ли вы человек". Развлекайтесь! Ну и можете поделиться, кто на чём пролетел. У меня проблемы с ...
22-10-2019топ 100 блогов pink_mathilda
Развернуть